Afecta Ómicron parte superior del cuerpo, no pulmones.- OMS
Afecta Ómicron parte superior del cuerpo, no pulmones.- OMS
Ginebra, Suiza (04 enero 2022).-
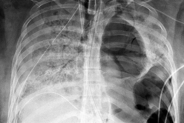
Cada vez hay más pruebas de que la variante Ómicron del coronavirus afecta al tracto respiratorio superior y provoca síntomas más leves que las variantes anteriores, lo que ha resultado en un “desacoplamiento” en algunos lugares entre el aumento de casos y las bajas tasas de mortalidad, dijo el martes un funcionario de la Organización Mundial de la Salud.
“Estamos viendo más y más estudios que señalan que Ómicron está infectando la parte superior del cuerpo. A diferencia de las otras (variantes), que afectan a los pulmones y podrían causar una neumonía grave”, dijo el responsable de incidentes de la OMS, Abdi Mahamud, a la prensa en Ginebra.
“Esto podría ser una buena noticia, pero necesitamos más estudios para comprobarlo”, agregó.
Desde que la altamente mutada variante fue detectada por vez primera en noviembre, datos de la OMS han mostrado que se propagó con rapidez y apareció en al menos 128 países, generando dilemas para muchas naciones y personas que esperaban reactivar sus economías y vidas tras casi dos años de disrupciones relacionadas con el Covid-19.
No obstante, aunque el número de casos está tocando máximos históricos, las tasas de hospitalización y muerte son por lo general más bajas que en otras fases de la pandemia.
“Lo que estamos viendo ahora es (…) un desacoplamiento entre los casos y las muertes”, afirmó Mahamud.
Sus comentarios sobre el menor riesgo de una enfermedad grave coinciden con otros datos, incluido un estudio de Sudáfrica, uno de los primeros países en los que se detectó Ómicron.
Sin embargo, Mahamud también llamó a la cautela y calificó a Sudáfrica como un “caso atípico”, ya que tiene una población joven, entre otros factores.
Asimismo, advirtió que la alta transmisibilidad de Ómicron implica que en unas semanas se volverá la variante dominante en muchos lugares, lo que representa una amenaza en países donde una gran parte de la población sigue sin vacunarse.

